
At the conclusion of my second season (first full season) of skiing, I executed a magnificent yard sale on Hugh’s Heaven at Blackcomb mountain. I tumbled over my skis, falling down the slope onto my right shoulder and head. The hit to the head dazed me (get a MIPS helmet folks!), and I knew something was wrong with my shoulder as I gathered myself.
I don’t know what happened, but there’s a theory that it had something to do with my hard-charging style…

I have my doubts about the accuracy of GPS-based speed in these apps. But I am known to go pretty fast, especially when a cloudy day opens up on a nice smooth groomer. It may also not help that I recently switched to long-for-my-height (173 cm) carver skis that grip pretty hard.

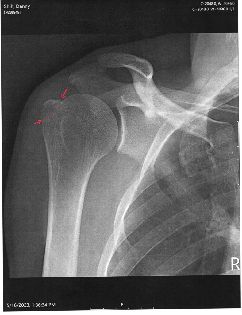
The damage report from the MRI:
- Redemonstrated fracture involving the anterior greater tuberosity.
- Low-grade interstitial tear of the distal supraspinatus tendon at the foot plate insertion.
- Mild subacromial-subdeltoid bursitis.
- Edema within the axillary recess with indistinctness of the joint capsule which is nonspecific and may reflect a capsular tear in the setting of recent trauma versus sequelae of adhesive capsulitis.
Well, you broke your shoulder but in the best way possible.
Orthopedics surgeon
Further instructions from orthopedics:
- Lift nothing heavier than a coffee mug for 6 weeks
- We need to watch it week by week to see if it displaces. It should not, but if it does, we’ll need to operate to align it.
- If it’s good after 4 weeks, can begin physical therapy.
- No contact sports or skiing for 6 months
- Probably will not feel fully healed until 1 year
Alas! There’s no question the injury has been impactful. As of writing this post, it’s three weeks after the fall. I can’t even dream of playing the violin and have missed two concerts. I have trouble with daily tasks like eating, driving, using a computer, showering, etc. And I still do not know if I’ll need surgery, since the bone did displace by 3 mm as of the last appointment.
What lifts my spirit though is knowing I wouldn’t change anything. Skiing has been such a joy in my life, and I look forward to hitting the slopes right at the 6 month mark in November!

